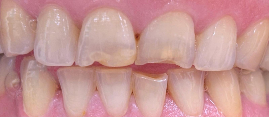
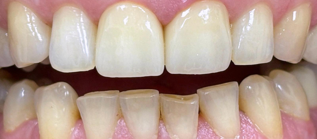
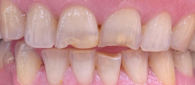
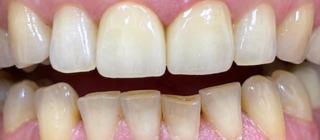
Zirconia crowns

Sometimes there are situations where it is impossible to restore aesthetics using composite materials. This is often due to bite characteristics. In such cases, zirconia crowns come to the rescue. The advantages of zirconia crowns include high strength, aesthetics, and durability.