Implant placement

Tooth loss is most often caused not by caries or its complications, but by periodontal disease.
This was also the case in the clinical situation described below.

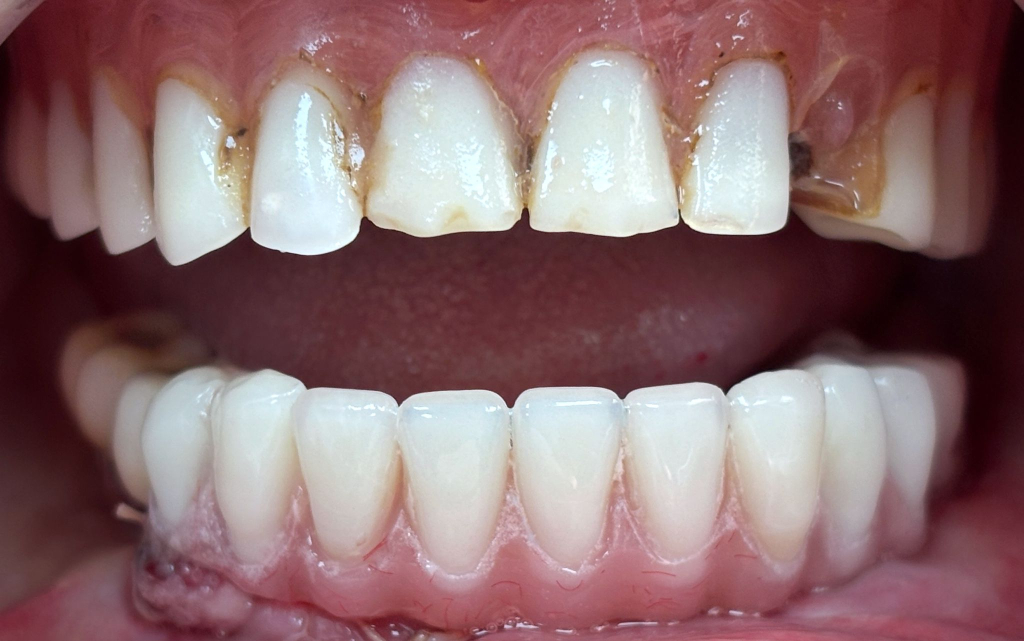
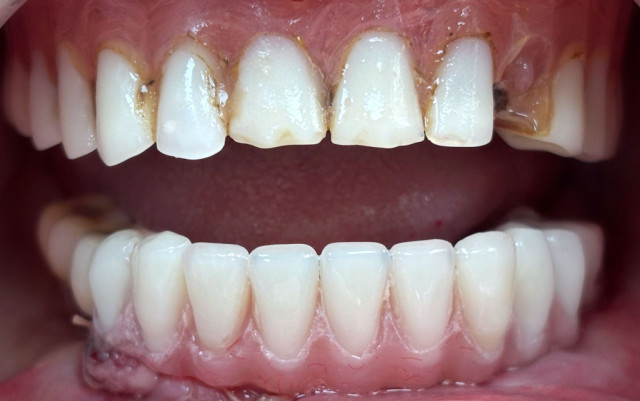
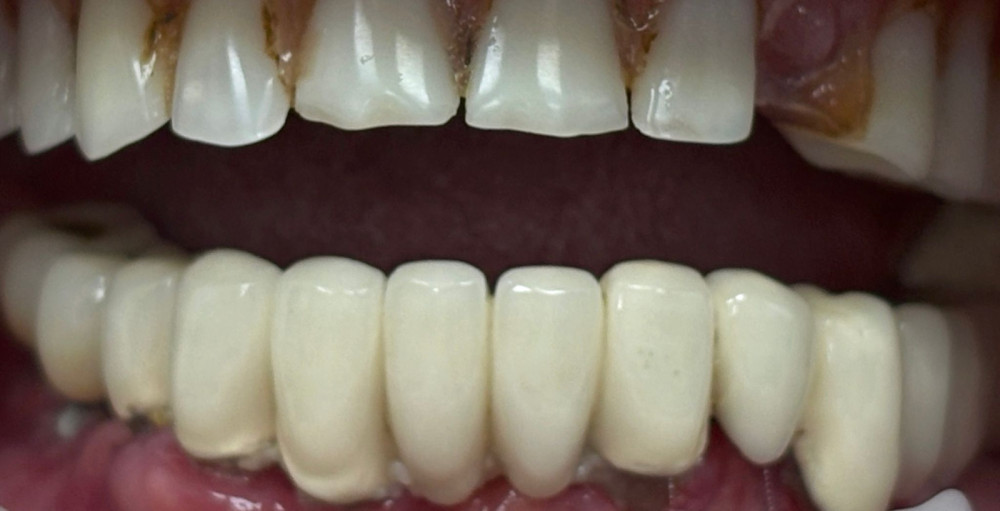
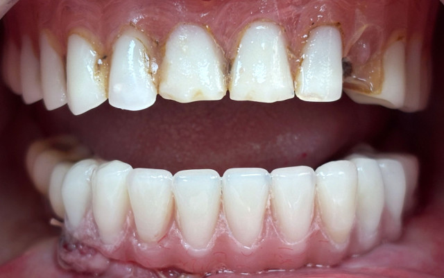
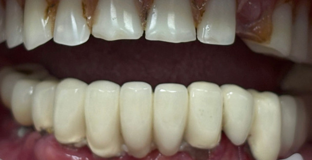
A 75-year-old female patient, M., presented to our clinic with complaints of pain and mobility of the mandibular teeth underneath a metal-ceramic bridge. CT imaging of the mandible revealed bone tissue atrophy in the area of the tooth roots.

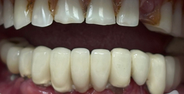
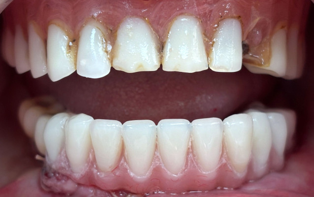
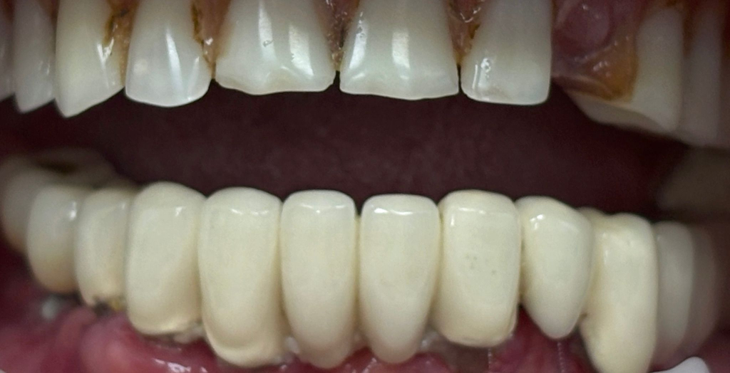
Based on the clinical and radiographic examination, a treatment plan was formulated. The procedures performed included removal of the bridge, extraction of the mandibular teeth, placement of six MIS implants (Israel), and delivery of a temporary screw-retained restoration a few hours after implant placement.

Work performed by Dr. Igal Granot.

Complaints of pain and mobility of the mandibular teeth underneath a metal-ceramic bridge
CT imaging of the mandible shows bone tissue atrophy in the area of the tooth roots.
Placement of 6 MIS implants (Israel)
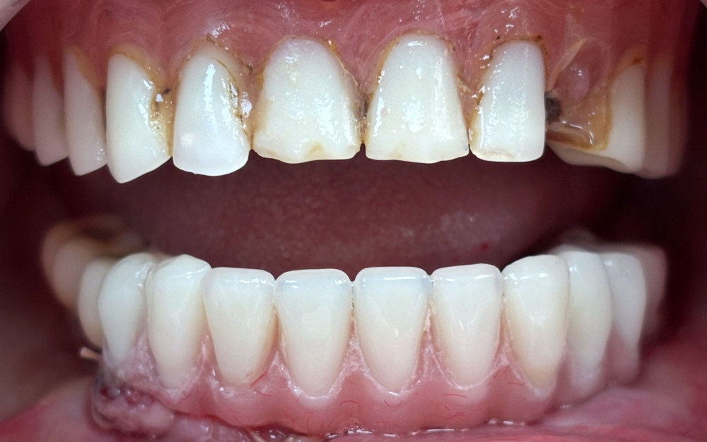
Delivery of a temporary screw-retained restoration a few hours after implant placement