Aesthetic tooth restoration
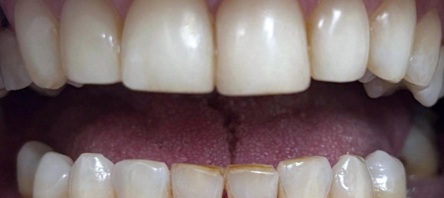
We performed a series of procedures aimed at restoring the function of the teeth as well as improving their appearance.
We performed a series of procedures aimed at restoring the function of the teeth as well as improving their appearance.