Netanya,
Weizman 24
+972 50-684-7608
098619608
Netanya, Weizman 24
Main
Services
Oral hygiene
Therapeutic dentistry
Aesthetic dentistry
Oral surgery
Dental implantation
Orthopedic dentistry
Periodontics
Crown fabrication
Our Team
Our works
Reviews
Articles
Contacts
en
ru
he
Our works
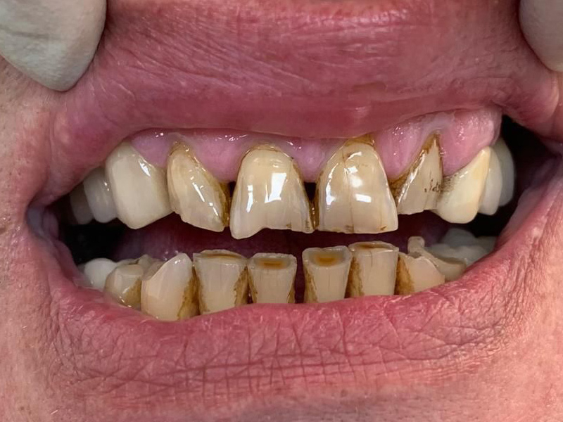
Composite dental restoration
Aesthetic dentistry
The patient came to our clinic with complaints about aesthetics in the smile line area associated with the shape and color of the teeth. Composite dental restoration was performed
Specialist:
Julia
Yanigina
Doctor
Services
Aesthetic dentistry
Make an appointment
+972 50-684-7608