דוגמאות לעבודות שלנו
המטופל פנה אלינו עם תלונה על שבר של סתימה ישנה ופגיעה באסתטיקה של שן קדמית.
הפציינטית מ', בת 75, פנתה עם תלונות על כאבים וניידות של שיני הלסת התחתונה מתחת לגשר ממתכת־חרסינה. ב־CT של הלסת התחתונה נצפתה אטרופיה של רקמת העצם באזור שורשי השיניים.
על סמך הבדיקה הקלינית והרנטגנית הוכנה תוכנית טיפול. בוצעו הסרת הגשר, עקירת השיניים בלסת התחתונה, התקנת 6 שתלים של חברת MIS (ישראל) ומסירת עבודה זמנית מוברגת כמה שעות לאחר ההשתלה.
פגיעה בשלמות השיניים, במיוחד באזור החיוך, אף פעם לא מתוכננת. כך קרה גם במקרה הזה. המטופל פנה עם תלונה על שבר בחלק הכותרתי של החותך המרכזי העליון. לאחר בדיקה ואבחון מדוקדקים, בוצע שחזור ישיר בעזרת חומרים מרוכבים מסוג GC Gradia Direct.
לפעמים יש מצבים שבהם אי אפשר לשקם את האסתטיקה באמצעות חומרים מרוכבים. לרוב זה קשור למאפייני הסגר. במקרים כאלה, כתרי זירקוניה יכולים לעזור. היתרונות של כתרי זירקוניה הם חוזק גבוה, אסתטיקה ועמידות.
שחזור אסתטי של שיניים
המטופלת הגיעה למרפאתנו עם תלונות על אסתטיקה באזור קו החיוך
בוצע שחזור קומפוזיט
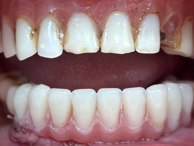
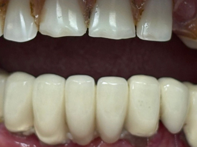
המטופל הגיעה למרפאתנו עם תלונות על אסתטיקה באזור קו החיוך
בוצע שחזור קומפוזיט
Снятие пигментированного налета системой Air-Flow