Профессиональная гигиена полости рта. Ответы на часто задаваемые вопросы
Поговорим немного про профессиональную гигиену полости рта.
Возникает много вопросов на эту тему и вот самые распространенные из них:
- Это не больно?
- Это не вредит зубам?
- Как часто надо ее проводить?
Нет, это не больно. Помним, что у всех разная чувствительность и разный болевой порог, и эти моменты уточняются до начала процедуры.
Нет, это не вредит зубам. Наоборот, правильно выполненная процедура приносит пользу не только зубам, но и в первую очередь деснам и тканям пародонта.
Частота выполнения тоже индивидуальна. Бывают случаи, когда достаточно проходить процедуру раз в полгода, а бывают случаи, когда и раз в 3–4 месяца.
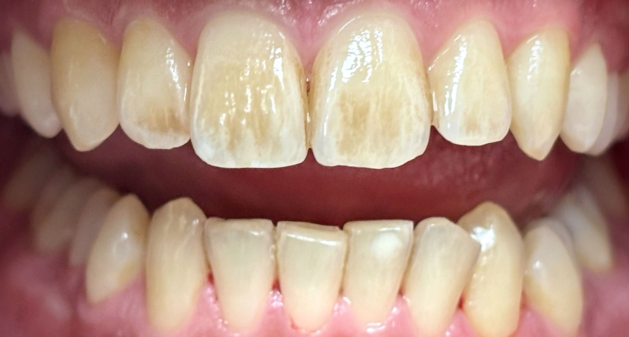
Как же проходит профессиональная гигиена полости рта?
В нашей клинике ее выполняет врач-стоматолог. После сбора анамнеза и выбора анестезии, в первую очередь снимаются зубные камни с помощью ультразвукового скейлера. Далее идет снятие пигментированного налета системой Air-Flow.
Как она работает: под давлением воздуха из специального наконечника, под углом 30–60 градусов к поверхности зуба, подается мелкодисперсный порошок с водой. Благодаря нему удаляется даже самый стойкий пигментированный налет.
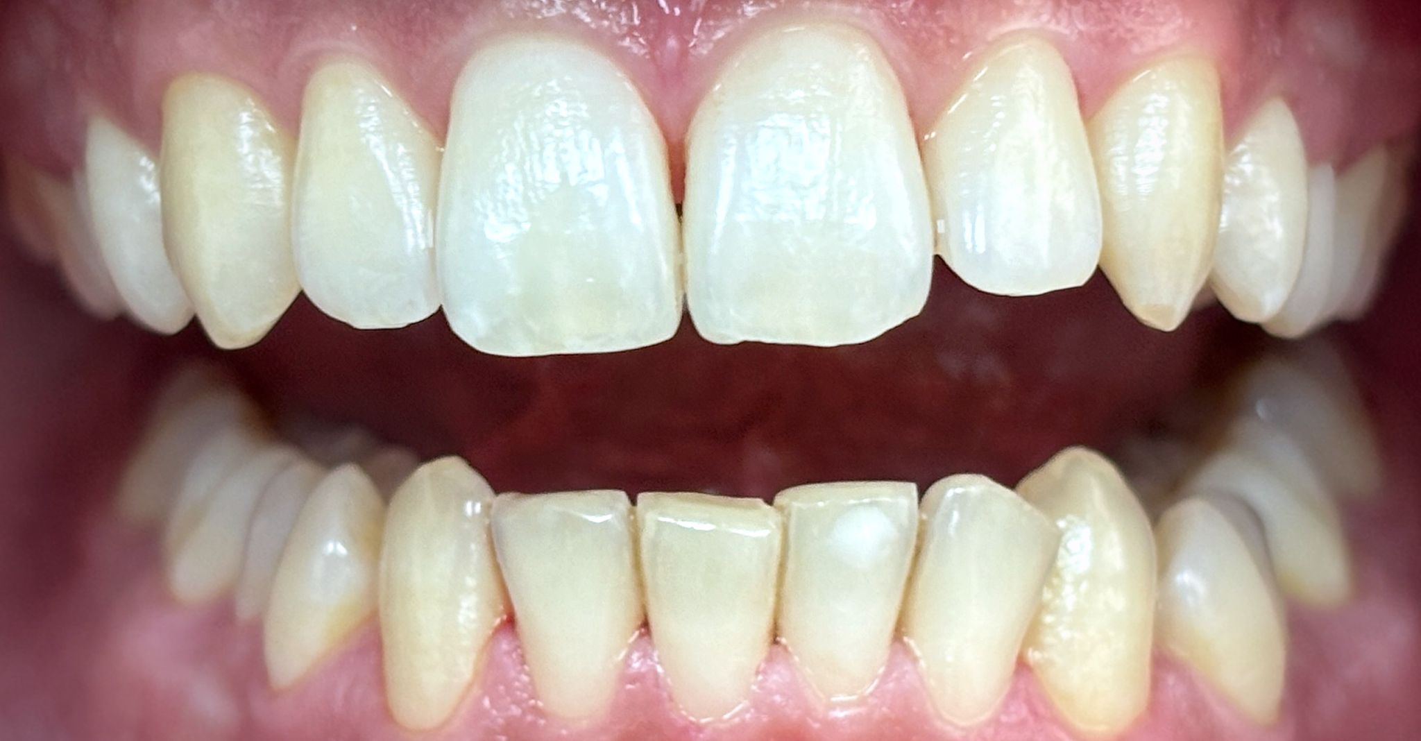
Затем идет полировка мягкой щеточкой и пастой без абразивов, даются рекомендации по поддержанию домашней гигиены и осуществляется подбор средств индивидуальной гигиены.

